Our group showcasing at HKU Innovation Week!
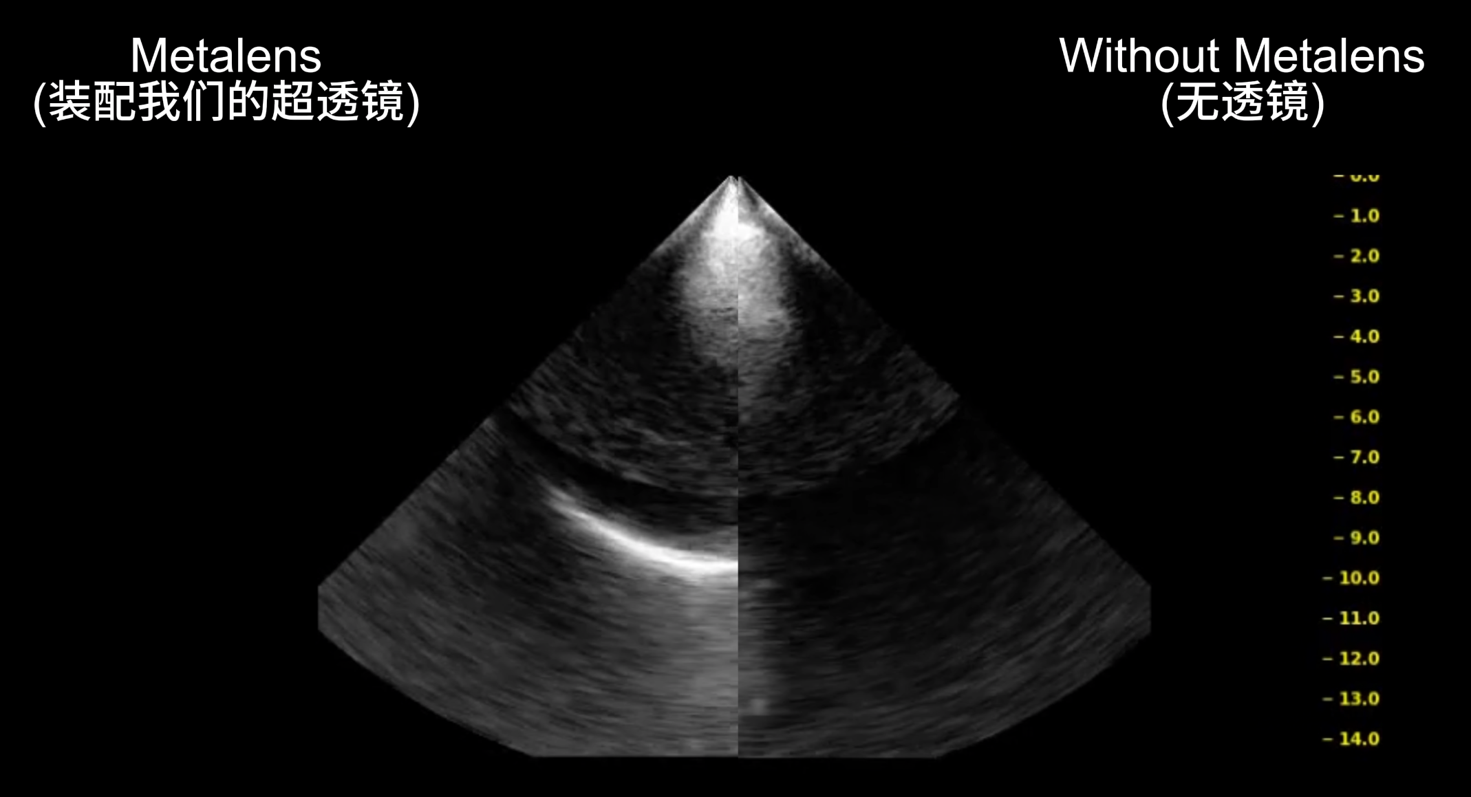
Our group were proud to demonstrate their latest research breakthroughs during HKU Innovation Week on 2025 Oct 14. PhD student Jin Yihan, MSc student Zhu Zejia, Postdoctoral Fellow Dr. Dong Erqian, and group leader Prof. Nick Fang presented a novel acoustic metalens platform designed to overcome fundamental limitations in ultrasound applications. This breakthrough technology, powered by an in-house designed 64-element ultrasound probe, enables precise beam steering for challenging scenarios including transcranial imaging, targeted neuromodulation, and transcostal imaging. The showcase highlighted the group’s progress in developing next-generation, non-invasive diagnostic and therapeutic tools.





